Prosthodontic Treatment
NON-METAL CROWNS

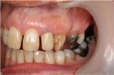
When you look at your teeth, what you see is the white enamel which covers the crown of the tooth. Over the years, your natural crown can be damaged or altered by many factors. It may become cracked or weakened by excessive wear or by decay, discolored by root canal treatment or by health factors and medical influences, or become unsightly due to large older fillings.
Damaged teeth can be restored - and their strength, appearance, and longevity greatly improved - with individually custom-fitted and manufactured porcelain crowns which allow us to achieve the tone and contour of your natural teeth. In fact, all-porcelain crowns have a natural translucency that makes them hard to tell from your other teeth.
Porcelain crowns used to be placed on a metal core for strength, and often a telltale dark line was left at the edge of the gum line. New techniques allow dentists to create crowns entirely of porcelain, eliminating all clues that a restoration has been placed. First, the tooth is reduced and contoured. Then an impression of your teeth and gums is taken, and sent to a dental laboratory for fabrication of the porcelain crown. In the interim, you are fitted with a temporary crown. When your new crown is ready, it is placed on your tooth and the bite adjusted. Finally, the crown is permanently cemented in place.
Call our office TODAY for a professional non-metal crown consultation in İzmir and be on your way to getting your NEW AGE designer smile that will have you looking and feeling GREAT in just one or two easy visits.
BENEFITS OF PORCELAIN CROWNS
Teeth are white with no stains or discoloration Teeth are straight and evenly spaced Gum lines are smooth and even When you smile, your top teeth show, but not the gums The edges of your top teeth follow evenly the curve of your lower lip
Porcelain Crowns and Bridges
A dental bridge is a false tooth, known as a pontic, which is fused between two porcelain crowns to fill in the area left by a missing tooth. The two crowns holding it in place that are attached onto your teeth on each side of the false tooth. This is known as a fixed bridge. This procedure is used to replace one or more missing teeth. Fixed bridges cannot be taken out of your mouth as you might do with removable partial dentures.
In areas of your mouth that are under less stress, such as your front teeth, a cantilever bridge may be used. Cantilever bridges are used when there are teeth on only one side of the open space. Bridges can reduce your risk of gum disease, help correct some bite issues and even improve your speech. Bridges require your commitment to serious oral hygiene, but will last as many ten years or more.
Dentures
Dentures are removable replacements for missing teeth typically made out of an acrylic resin which at times incorporate porcelain or metal for additional structural support. There are two main types of dentures. Both Complete Dentures and Partial Dentures are finely crafted, custom-fitted. If you properly maintain your dentures they will appear natural and provide a perfect smile. Additionally, dentures help strengthen muscles controlling your expressions that require the support of your teeth, rid you of pronunciation problems caused by missing teeth and aid with chewing.
Instant Orthodontics ( Crowded front teeth, alignment )
To change your smile by changing the appearance of your front teeth you may consider porcelain veneers, bonding, crowns or traditional braces. Accelerated orthodontics is another option for you and your cosmetic dentist to consider. Accelerated orthodontics is relatively new way to move teeth faster than traditional braces. It can be applied in most cases where orthodontics is the chosen solution. While traditional braces take anywhere from one to three years to give you a great smile, accelerated orthodontics can give you a great smile in only three to eight months in most cases.