Implant
Dental implants
Dental implants are fixtures of titanium which are surgically screwed into your jaw bone. The implant is an anchor for a naturally-appearing false tooth or a set of false teeth. The success rate of dental implants depends on where the implants are placed and their purpose.


They are typically best placed in the front portion of your lower jaw. Implants are great for replacing missing teeth. It is important that you have enough bone in the area of the missing teeth for the implants to be attached to. Implants are not only used to replace one tooth, but rather people missing most, if not all, of their teeth benefit greatly as well. Implants are increasingly being used to replace certain types of bridges and removable partial dentures.
2 Type of Implant Procedure
Classical 2 step implant surgery
1. When you come for the surgery, you will be given a surgical consent form, describing the procedure and possible complications. It is a good time to address any questions and concerns. After you sign the consent form, you will be anesthetized and surgery will soon begin.
2. Doctor will make a cut in you gum along the crest of the bone and push it to the sides to access the bone.
3. Using different sizes of special drills, doctor will drill inside the bone to make a path for an implant. Doctor will start with thin drills, gradually moving to thicker ones. The diameter of last drill will be slight smaller than the diameter of the selected implant. Surgical drills have a canal inside its body to allow constant water irrigation, which is necessary to cool down the bone, preventing it from overheating.
4. Implant is screwed inside the bone. Necessary x-rays can be taken during the procedure
5. A surgical cover screw is inserted into the top if the implant to prevent bone and tissue to grow inside the implant.
6. Gum is placed back and sutures are used.
Doctor will give you all necessary prescriptions and instructions. In 7-10 days, you come back for suture removal and follow up. There will be several other follow-up visits to monitor the healing process until such time that the implant is ready to be restored with a prosthetic
Stage 2 –Uncovering the implant
What happens after dental implant is osseointegrated?
After the doctor has concluded that implant integration is complete, the dental implant has to be uncovered:
- Local anesthesia is administered.
- A small incision is done in the gum, allowing doctor to unscrew the surgical cover screw.
- Healing cover placed instead of the surgical screw, projects above the gum preventing it from closing over the implant. Sutures are placed to hold the gum back in place.
- One week later doctor will remove stitches, and after few more days of healing implant is ready for restoration.
One Step Implant Placement Procedure
Depending on the particular situation 1 step surgical implant placement technique may be used. Instead of making a line incision and opening the flap doctor will use the special round knife("tissue puncher") to cut off a round piece of the gum in the area of projected implant(punch technique). Ostoetomy performed thru this opening, and the implant screwed directly in. Instead of puting the surgical cover, doctor will place righty away the implant healing color, having it exposed above the gum line and preventing the gum from closure. Implant remain exposed and there is no need for the second surgical stage -openning of the implant. This technique is used more and more. Besides the fact that there is no need for second surgery, the postsurgical discomfort and pain much less than in a 2 stage technique procedure.
Nobody can notice the difference
The replacement of lost teeth implies the involvement of the contiguous teeth that are often healthy.In some cases it is impossible to obtain fixed prosthesis, and we are forced to realize mobile structures, which must be removed and cleaned after every meal.
The oral implantology is the surgical placement of titanium cylinder fixtures inside the bone locations corresponding to the edentulous, which will be used as artificial roots.
The oral implantology is suitable for all ages
The fear of losing teeth is something that does afraid many of us . Today, the loss of teeth is no longer a permanent problem.
Oral implantology treatment uses a reliable method for replacing a single tooth, several teeth ........ or entire lower-upper arch.
The restauration by new artificial teeth appears natural and will make it possible to live, laugh and enjoy life in absolute freedom and full self-confidence..
Back you to be natural
This allows us to not involve the teeth or contiguous with preparations that are compromising the integrity or using it as support for hooks or attacks that often reduces stability. In more than of the cases, moreover, it can be obtain fixed prosthesis, that should not be removed and can be cleaned as if they were natural teeth.
It is the best way to find the smile
The implants may be placed at any time: either immediately after the extraction that after many years, as long as the residual bone thickness is sufficient to ensure stability.
There are however advanced surgical techniques that allow the use of dental implants in almost all the conditions bone
What are the advantages?
The advantages of the oral implantology are:
- Replacing the tooth or teeth missing so functional, aesthetic, lasting over time and predictable success.
- Preserving the integrity of natural teeth close to missing teeth that are not involved in the prothesis.
Reconstruction and conservation of the anatomy of the bone and gums of the edentulous areas
Is Oral implantology for all of us?
The modern oral implantology, with the help of materials and surfaces that are able to integrate with the bone and moreover in less favorable conditions, it can solve almost every case of edentulous (lack of teeth) partial or total. Everyone, virtually are persons who may receive implants.
Everyone?
There are contraindications, or conditions that advice the use of the oral implantology, and these can be absolute or relative, whether general or local, or temporary or permanent.
Using a form the clinical condition history of the patient ,current and old, the dentist or the surgeon implantologist will be informed about all the data that he needs for to promote or un advise the oral implantology.
How does insert a dental implant?
The dental implant is an artificial root replacing the root of the natural tooth lost. The surgery is lead in local anesthesia, and to apply the implant it is necessary to make a small incision on the gum to discover the underlying bone where the implant will be inserted. After the insertion of the implant is closed the gingiva applying sutures . The procedure takes about 20 minutes for each root planted and no pain. At the end to the patient is prescribed a treatment of antibiotics anti-infection and to exclude complications after the surgery. The surgical removal of the sutures occurs after about a week.
There can be a failure?
The causes of failure are few in the modern implantology, as long as the implantologist have a good experience and suitable materials but there are conditions that can lead to the failure when there isn't osseointegration
The implantology success is closely related to knowledge of the matter and involves expertise of the implantologist in medical biology field, surgery and prosthetic tecnique .
The causes of failure in dental implantology, when it meets the quality standards, are rare and quantified according to the international literature about 3-4%.
How many time resists an implant?
We can define an implantology rehabilitation success when the implant is fully integrated on the bone and the prosthesis is properly constructed and remains stable and functioning over time. When all the conditions of adequate prosthesis, hygiene, the control of the patient are satisfied (we can predict) implantology rehabilitation success assessable to 15-20 years.
This result, however, should be maintained with good hygiene to prevent plaque bacteria to be deposited around the implant and lead to suffering without loss of support bone, as indeed happens to natural teeth. Check controls should be periodic in time evaluated by the doctor because the implant, unlike our teeth, not hurt and therefore any symptoms of infection and inflammation may go unnoticed and not be felt by the patient if not when they become important. The control then used to preserve and extend the life of a implant like that of a natural tooth.
implant + single porcelain crown
one missingh tooth implant + single porcelain crown
Implant&Implant supported porcelain fused to metal crown and bridges-1-
implant&total prosthesis
Implant&Implant supported porcelain fused to metal crown and bridges
singel implant & implant supported porcelain fused to metal crown
Implant&Implant supported porcelain fused to metal crown and bridges-2-
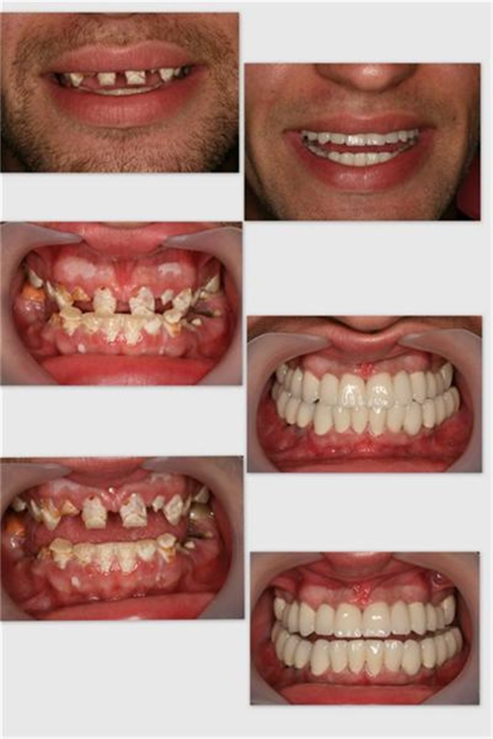
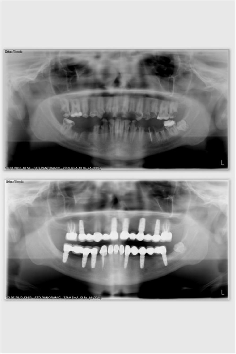
depigmentasyon+gingivektomi+implantx8+Implant supported porcelain fused to metal crown (28 units)
before&after